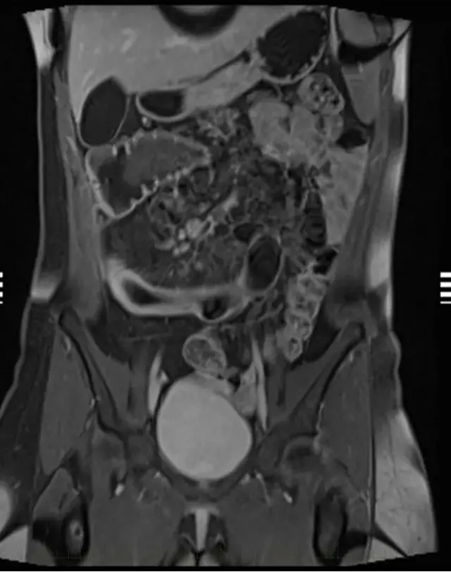
МРТ энтерография (тонкого кишечника с контрастом)

МРТ энтерография – это МРТ тонкого кишечника.Для чего: помогает выявить воспаления, полипы, опухоли и другие патологии кишечника.

 

Показания:

— Боли или вздутие в животе;

— Длительные расстройства стула;

— Подозрение на воспалительные заболевания кишечника (болезнь Крона, язвенный колит);

— Контроль после операций и лечения.

Полезная информация

1. Подготовка
2. Укладка на томограф
3. Сканирование
4. Контраст
5. Получение результатов
6. Общие рекомендации