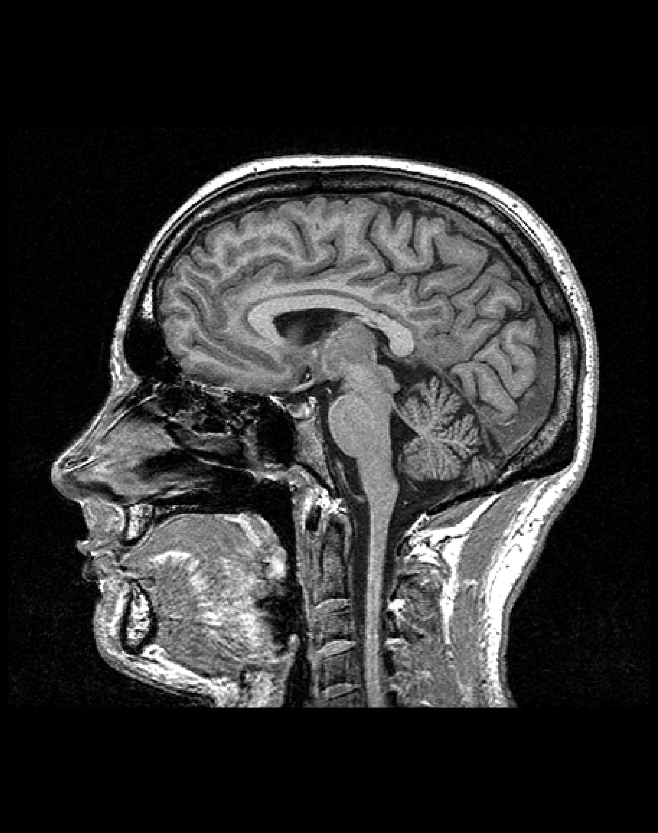
МРТ головного мозга (стандартное)

Показания:


— Головные боли, головокружения, обмороки

— Нарушения чувствительности, судороги, ухудшение слуха или зрения

— Подозрение на инсульт, опухоль, воспаление, рассеянный склероз

— Контроль после травм и операций

 

 

Полезная информация

1. Подготовка
2. Укладка на томограф
3. Сканирование
4. Контраст
5. Получение результатов
6. Общие рекомендации