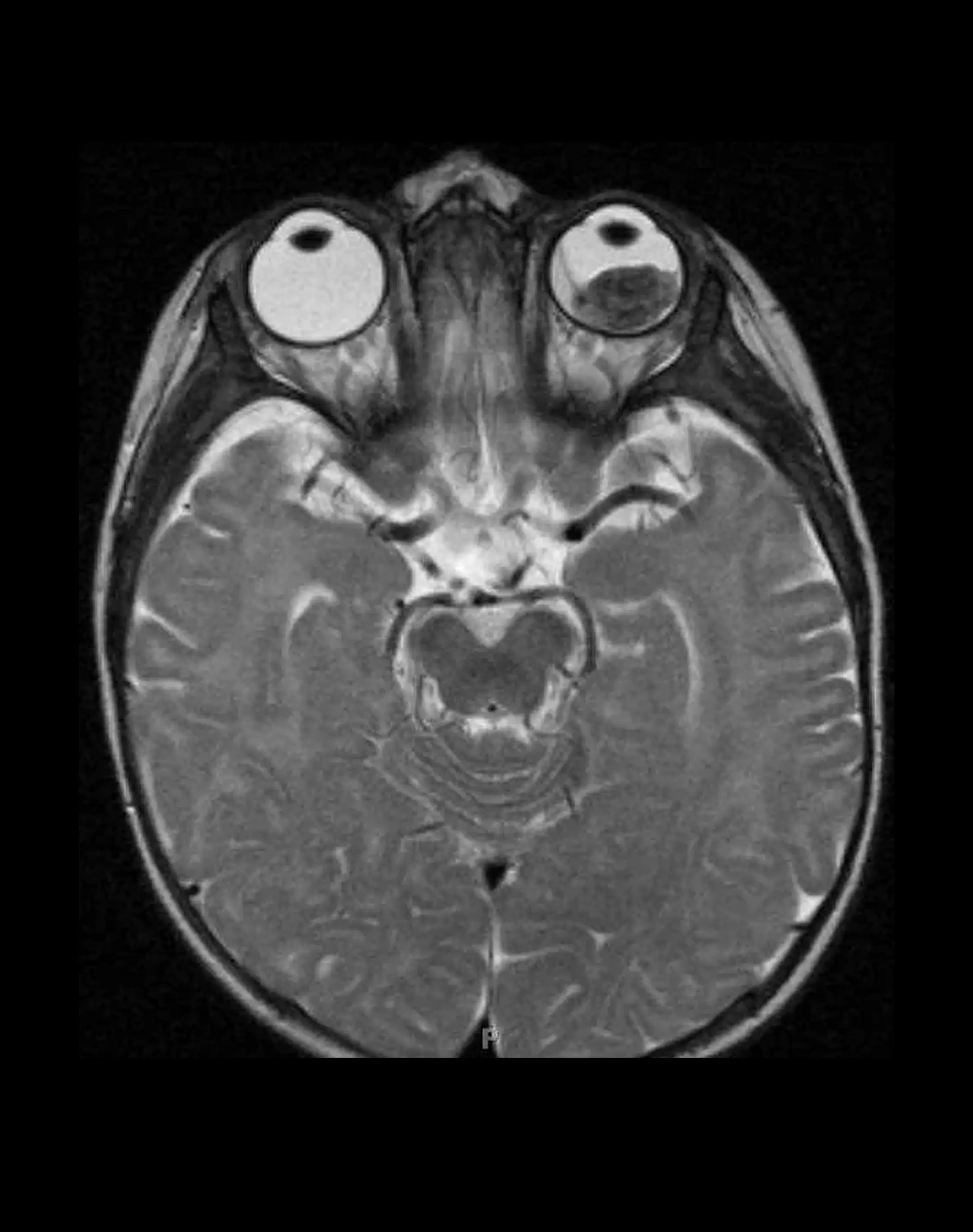
МРТ орбит (глазных яблок)

Получение изображений глазных яблок, зрительных нервов, глазодвигательных мышц, ретробульбарной клетчатки, зрительного перекреста, слезной железы и прилежащих структур.

 

Показания:

— Воспалительные заболевания глаз

— Объемные образования

— Травматические повреждения

— Патологии зрительного нерва


Полезная информация

1. Подготовка
2. Укладка на томограф
3. Сканирование
4. Контраст
5. Получение результатов
6. Общие рекомендации