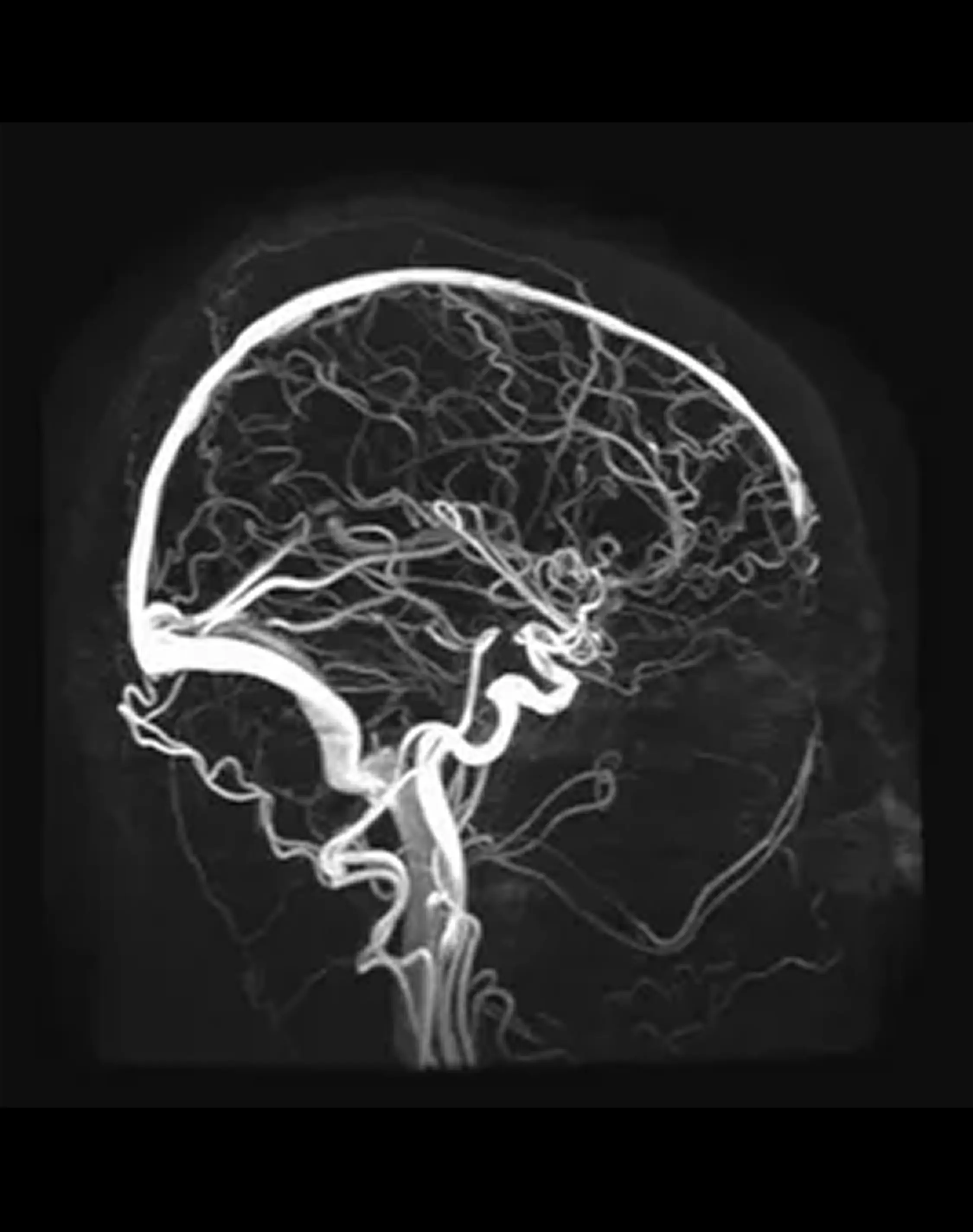
МРТ вен головного мозга (венография, венозные синусы)

Позволяет визуализировать венозный отток по синусам и венам.

 

Показания:

— Венозная недостаточность головного мозга

— Выявление анатомических аномалий вен

— Подозрение на тромбоз


Полезная информация

1. Подготовка
2. Укладка на томограф
3. Сканирование
4. Контраст
5. Получение результатов
6. Общие рекомендации